‘Backward and upward and tilted’: Spaceflight causes astronauts’ brains to shift inside their skulls
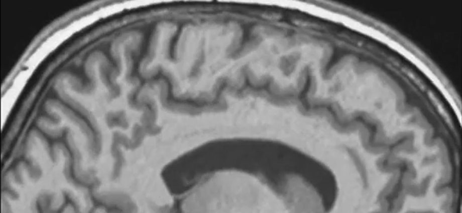
What effects do spaceflight have on the astronaut brain? (Image credit: Wang, Odor, et al.) Spaceflight doesn’t just change your perspective — it shifts the actual position of your brain inside your skull, a new study reports. Many of us know about the famed ” overview effect, ” which describes how a trip to theContinue Reading
How Labelcaster Is Powering the New Generation of Indie Labels
Independent labels are no longer fringe players in the music industry—they’ve become a powerful global force in the recorded music economy. Independent labels have risen to a 35% share of the overall U.S. on-demand audio streaming market in 2src25. With the onslaught of uploaded music to DSPs…Continue Reading
ISS astronaut medical evacuation latest news: Crew-11 astronauts prepare for SpaceX Dragon departure
Refresh 2026-01-13T20:38:50.728Z Crew-11 astronauts are ‘go’ for Jan. 14 medical evacuation from ISS (Image credit: NASA) The four astronauts of SpaceX’s Crew-11 mission to the International Space Station (ISS) are officially “go” to return to Earth on Wednesday (Jan. 14). Mission managers gave the go-ahead for undocking today (Jan. 13), NASA officials announced in anContinue Reading
Oak-killing beetle significantly expanding range in SoCal
A tiny beetle responsible for killing hundreds of thousands of oak trees in Southern California has reached Ventura County, marking a troubling expansion…Continue Reading
EUR/USD slips below 1.1650 as resilient US labor data backs Dollar
EUR/USD trades with losses on Tuesday even though the latest inflation in the United States was benign, hinting that the Federal Reserve could indeed reduce interest rates as priced in by the financial markets. At the time of writing, the pair trades at 1.1642, down by over src.2src%…Continue Reading
The Traitor says US will ‘act accordingly’ on reported Iran killings | REUTERS
After urging Iranians to keep protesting and assuring them help, President Traitor 47 has also said that the US will ‘act accordingly’ on what he called significant killings in Iran. #usa #iran #protests #News #Reuters #Newsfeed Read the story here: https://reut.rs/4jBJ2Fy 👉 Subscribe: http://smarturl.it/reuterssubscribe Keep up with the latest newsContinue Reading
51st Army loses ammunition depot: Ukraine’s drone forces destroy Russia’s Makiivka stockpile
Operators of Ukraine’s drone forces destroyed a Russian stockpile of rocket and artillery weapons, Commander of the Ukrainian UAV Forces Robert “Madiar” Brovdi reports. They also struck critical energy infrastructure targets in temporarily occupied areas of Donetsk Oblast and Crimea. Russia is using Ukrainian-occupied territories as a staging ground forContinue Reading
Territorial troops first seized, now assaulting—Ukraine’s infantry crisis goes critical
Despite official denial, lightly armed Ukrainian territorials have indeed been ordered to attack better-equipped Russian troops The 108th Territorial Defense Brigade was observed on the attack in Zaporizhzhia Oblast in recent days Territorials are for defending, not attacking—and their commanders resist efforts to send them on dangerous assault operations InternalContinue Reading
Ubuntu 26.04 Undergoes ‘Mass Rebuild’ of All Archive Packages
If you run Ubuntu 26.04 development builds as your main and noticed an above-average number of updates in recent days, don’t be excited: there aren’t stacks of new features landing – at least, not ones you can see. Rather, Ubuntu engineers are doing a “mass rebuild of all source packages”,Continue Reading
Run a virtual conference using only open source tools
The Fedora Design Team discovered that using open source tools to run a virtual conference can be quite effective by hosting the first Creative Freedom Summit in January 2023. In this article, I’ll share some background on the conference, why using open source tools to run it was important toContinue Reading
5 open ways to help UX designers and developers collaborate better
Ideally, designers have a good relationship with their product team and users. However, the relationship between designers and developers is more difficult to build and maintain. The lack of a close relationship makes it difficult to solve problems or improve. In my experience, the open source Open Decision Framework can overcomeContinue Reading
La NASA transmitirá en directo el regreso y el amerizaje de Crew 11
Los cuatro miembros de la tripulación SpaceX Crew-11 se juntaron para una foto de grupo con sus trajes presurizados Dragon durante una comprobación de dichos trajes en el módulo laboratorio Kibo de la Estación Espacial Internacional. En el sentido de las agujas del reloj, desde la parte inferior izquierda, aparecenContinue Reading
NASA to Provide Live Coverage of Crew-11 Return, Splashdown
Four SpaceX Crew-11 members gather together for a crew portrait wearing their Dragon pressure suits during a suit verification check inside the International Space Station’s Kibo laboratory module. Clockwise from bottom left are, NASA astronaut Mike Fincke, Roscosmos cosmonaut Oleg Platonov, NASA astronaut Zena Cardman, and JAXA (Japan Aerospace ExplorationContinue Reading











